| |

Akupunkturvariationen
Akupunktur bei unseren anderen Tieren ist eine potente Methode.
Natürlich besteht prinzipiell bei allen Lebewesen die Möglichkeit einen Therapieerfolg mit Akupunktur zu erreichen. Man muß hier allerdings dabei bedenken, daß die historisch gewachsenen chinesische Akupunktur sich auf die "Nutz-
tierrassen" wie Pferd, Rind, dem Schwein und zum Teil eben auch den Hund beschränkten. In jüngster Zeit beschäftigen sich viele Kollegen mit anderen Tierarten wie dem Kaninchen Meerschweinchen oder anderen Heimtieren.
Ich habe auch von der Akupunktur bei Papageien erfahren.
Da bin selbst ich immer noch erstaunt.
Doch durch die detaillierte Befunderstellung mit Wesen und Art der Erkrankungszeichen, sowie einer Druckpunkt-
diagnose sowie der Pulsdiagnose sind sicherlich gewisse Grenzen gesteckt, die mache Tiere somit einer Behandlung entziehen.
Zumal die Projektion der Akupunkturpunkte von einem auf das andere Tier nicht so ohne weiteres möglich ist.
Ein weiterer Aspekt ergibt sich aus der historischen Bedeutung der Veterinärakupunktur in China. So stand und steht vielfach auch noch heute im Vordergrund, daß die Tiere funktionieren. Dies bedeutet, daß sie den Karren zum Feld ziehen oder den Reiter von einem Ort zum nächsten bringen. Dabei ist es nicht so entscheiden wie dies geschieht, Hauptsache es geschieht. Sollte dies mit Husten oder dem "Nachziehen" des Hinterbeines passieren, so ist dies mehr oder weniger egal. Aus diesem Grund sehen wir uns als Akupunkteure in der heutigen Zeit vor Aufgaben die sich mit der klassischen Veterinärakupunktur nicht mehr so ohne weiteres lösen lassen.
Es müssen also neue Wege beschritten werden um des "klemmige" Pferd oder den Hund mit Ekzem zu behandeln. In diesem Zusammenhang findet auch auf Fortbildungen und Kongressen ein reger Austausch von Meinungen und Erfahrungen statt, der die "alte" Akupunktur jung und beweglich hält
Ein nicht weniger spannendes Feld hat sich allerdings mit den sogenannten Microsystemen aufgetan, zu deren bekanntesten die Ohrakupunktur gehört.
Hierbei handelt es ich um reaktive Punkte an der Innenseite der Ohrmuschel, die zum Teil schon im alten Ägypten mittels kleinen "Aderlässen" am Ohr oder lokalem "brennen´s" Zahnschmerzen und Rückenschmerzen behandelten. Erst in den letzten Jahren haben sich einige Kollegen intensivst mit dem erstellen von sog. Ohrkarten beim Tier beschäftigt. Somit liegen uns heute für viele Tierarten die Lokalisationen für einige Punkte vor.
Wie aber einige wissen, ist das Pferd nicht in jedem Fall der geduldigste Patient wenn es um eine Manipulation an seinem Ohr geht. Selbst der Einsatz von Infrarot-Lasern ist nicht immer die befriedigende Lösung. Wobei der Einsatz, selbst von Nadeln am Ohr, von den meisten Hunden und auch Katzen durchaus toleriert wird.
Die Ohrakupunktur wird immer begleitend mit einer Körperakupunktur vorgenommen und man erreicht dadurch eine tiefer greifende und auch länger anhaltende Wirkung der Akupunktur.
Eine ganz neue, aber nicht weniger viel versprechende Art der Akupunktur ist die:
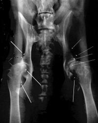
Goldimplantationen bei Hunden
Hierbei werden kleine Goldkügelchen an Akupunkturpunkten dauerhaft implantiert um - ähnlich wie sog. Dauernadeln am Ohr beim Menschen - über eine lange Zeit den Akupunktur-
punkt zu reizen. Das Haupteinsatzgebiet sind Behandlungen im Zusammenhang mit DER Hüftgelenkserkrankung beim Hund: der HD (Hüftgelenks-Dysplasie).
Bei dieser angeborenen Fehlfunktion des Hüftgelenkes kommt es früher oder später zu einer arthrotischen (verknöchernden) Veränderung der Gelenkpfanne und/oder des Oberschenkelkopfes, die aufgrund der dabei auftretenden Schmerzen auch sehr qualvoll für den Hund ist.
Nach entsprechender Diagnoseabsicherung werden unter Vollnarkose mehrer kleine Goldkügelchen mehr oder weniger Gelenksnah eingepflanzt. Die Erfolge dieser Methode sind zum Teil außerordentlich. Wenngleich niemand erwarten sollte, daß er aus seinem 13 jährigen Schäferhund einen 3 jährigen mit dieser Methode machen kann. Auch hier gilt natürlich, daß eine frühzeitige Diagnose und Therapie schon die Entstehung dieser Knochen-
zubildungen erheblich verzögern, wenn nicht sogar verhindern kann.
|
|

Ohrakupunkturpunkte beim Pferd

Goldimplantationen bei Hunden |
|